金属アレルギー専門サイト

047-422-7177

土日祝も診療

金属アレルギーの

相談、治療なら

お任せください

01

駐車場88台分完備

02

土日祝日も診療

03

キッズスペース完備

金属アレルギーでお困りなら
あおぞら歯科クリニックにお任せください。

歯科と医科を連携させた医科歯科連携治療を
知り尽くした歯科医師が、お口と身体を健康にします。

24時間受付中
お電話でも承ります
047-422-7177 土日祝も診療

Results

当院の実績

当院の実績は下記の通りです。

過去10年累計通院人数

23年101,250人/22年106,740人/21年102,330人/20年97,650人/19年101,970人/18年97,890人/17年107,250人/16年78,480人/15年70,260人/14年61,380人/13年54,810人(爽晴会全体 自社調べ)

口コミ平均

2023年度 Googleマイビジネス

リピート率

%

爽晴会全体 2023年度 自社調べ

当院について About

01 心から安心・リラックスできる院内

患者様の安心安全のために衛生・滅菌機器をはじめ、よりスピーディーに高い精度を実現する最新鋭のデジタル設備まで、大型歯科医院ならではの充実した設備・機器を導入しております。

受付 白を基調とした明るく清潔感のある受付です。患者さまが来院されましたらスタッフ一同が明るい笑顔でお出迎えします。緊張なさらずにリラックスしてお越しください。

待合室 多くの患者さまが来院されても座ってお待ちいただける、広めの待合室です。順番になりましたらお名前をお呼びしますので、それまでゆっくりとおくつろぎください。。

診療室 明るく清潔な診療室です。各ユニット(診療台)がパーテーションによって仕切られているので、ほかの患者さまを気にすることなく個室のような感覚で受診いただけます。

キッズスペース 小さなお子さまをお連れでも安心して受診いただけるよう、キッズスペースをご用意しています。絵本やおもちゃで遊べるので、お子さまに退屈せず過ごしていただけます。

02 これからの歯科医療の追求

現代の歯科医療は進化しており、痛みが少なく、効果的な治療が可能です。当院では、医療機器を厳選して採用し、治療の質を高めています。短期間での効果を実感できるよう工夫しています。

CAD/CAM

セラミック(陶材)で作る白い補綴物(詰め物や被せ物)を、コンピューターで設計・製造する機器です。口腔内スキャナーで撮影した歯型のデータをもとに、患部に合うようコンピューター上で設計され、その後セラミックのブロックが削り出されて仕上がります。短期間で質の良い補綴物を作製できます。

マイクロスコープ

アニメーションやイラスト、撮影したCT画像などを見ながら、検査結果やお口の状態、治療計画などを患者様に分かりやすくご説明いたします。

デジタルレントゲン装置

デジタルなので従来のアナログレントゲン装置よりも素早く撮影できます。撮影後はユニット(診療台)のモニターで確認できるので、患者さまにご自身のお口の状態をすぐに把握いただけます。また、アナログレントゲン装置に比べX線照射量が1/10程度まで抑えられているので、体にやさしく安心です。

03 認定取得

患者さまにとって適切な医療のご提供を常に心がけ、患者さまとの信頼関係を大切に人間味あふれる診療を目指しています。
爽晴会の理事長として、患者さま、そしてドクターやスタッフから頼りにされる歯科医師になることが目標です。

京セラ株式会社公認「インプラント臨床マイスター」認定取得

京セラ株式会社は、同社製のインプラントを使用する歯科医師のなかで教育・指導的立場であると判断した歯科医師を公認し、「インプラント臨床マイスター」の資格を授与しています。
インプラント臨床マイスターに認定されるには、下記の3つの条件を満たしている必要があります。

①インプラント学会の認定医もしくは専門医
②インプラントを年間200本以上埋入している
③京セラ株式会社からの推薦者

04 高度インプラント治療

他院で断られた方も、ご相談下さい。

  • サイナスリフト:上顎の骨が薄い場合に骨量を増やす手術です。より安定したインプラント治療を実現します。
  • ソケットリフト:抜歯直後に骨の高さを確保し、インプラント埋入のための短期間での治療法です。
  • GBR:骨の量が不足している部位に特殊な材料を用いて骨を再生し、インプラントのための強固な土台を構築します。

金属アレルギーの可能性をチェック

金属アレルギーを確認するための3つの質問

このような症状はありませんか?

  • 皮膚が痒くなる
  • 皮膚に赤い部分がある
  • 皮膚にブツブツがある
  • 口内炎ができやすい

金属アレルギーの可能性があります。

歯科治療においては、金銀パラジウム合金、水銀アマルガム、ニッケルクロム合金、銀合金、コバルトクロムなどの金属材料が使用されます。しかし、これらの材料の中には身体への影響が心配されるものもあります。

※円グラフは、1987年、東京都済生会中央病院皮膚科が行った金属パッチテストの結果です。

身につける金属に気をつけていますか?

  • ブレスレット
  • 指輪
  • ネックレス
  • ピアス

金属アレルギーの可能性があります。

歯科治療においては、金銀パラジウム合金、水銀アマルガム、ニッケルクロム合金、銀合金、コバルトクロムなどの金属材料が使用されます。しかし、これらの材料の中には身体への影響が心配されるものもあります。

過去の歯科治療で以下を詰めた記憶はありますか?

  • 金銀パラジウム合金
  • 水銀アマルガム
  • ニッケルクロム合金
  • 金合金
  • 銀合金
  • チタン

毒性がある歯科金属の可能性があります。

歯科治療においては、金銀パラジウム合金、水銀アマルガム、ニッケルクロム合金、銀合金、コバルトクロムなどの金属材料が使用されます。しかし、これらの材料の中には身体への影響が心配されるものもあります。特に金属アレルギーの症状や全身の疲れ、不眠などの症状は、体に合わない歯科金属が原因であることも考えられます。

当クリニックでは、このような問題を解決するため、医科歯科連携による診断を基に、金属アレルギーに配慮した治療を推進しています。具体的には、体に適合しない歯科金属の除去や、金属を一切使用しないメタルフリー・ノンメタル治療を提供しています。これらの治療は、患者様の健康と快適な生活をサポートするためのものです。当クリニックでは、患者様一人ひとりの体質や症状に最適な治療を選択し、健康的な口内環境を取り戻すことを目指しています。金属アレルギーの心配がある方、全身の疲労感や不眠が気になる方は、ぜひ一度当クリニックまでお問い合わせください。

金銀パラジウム合金

パラジウムはリン球幼若化テストという金属アレルギーの検査で、約半数の人に陽性反応ができます。ドイツでは、保健省が「幼児及び妊婦に銅を含有するパラジウム合金と水銀・銀アマルガム合金を使用しない」という勧告を行った経緯があります。

水銀アマルガム

水銀アマルガムは成分が体内で長期間にわたって分解、放出される可能性があり、それがアレルギー反応や神経系に対する影響を引き起こすケースも報告されています。
特に、水銀に対するアレルギー反応を持つ人々には、皮膚炎や口内炎、さらには全身の疲れや不眠などの症状が見られることがあります。これは極端なケースも含めて、個々の体質や既存の健康状態に依存する問題です。

金合金

金合金は通常、金属アレルギーのリスクが低いとされていますが、例外も存在します。特に、純度が低い金合金は、銀、銅、パラジウムなど他の金属と混合されている場合が多く、これらの成分がアレルギー反応を引き起こす可能性が高まります。そのため、金属アレルギーの症状や特定の金属に対する敏感性がある方は、使用する金合金の成分に注意が必要です。

銀合金

銀合金には銅や亜鉛、ニッケルなど他の金属が混ざっていることが多く、これらの金属がアレルギー反応を引き起こす場合があります。銀自体も一部の人々にアレルギー反応を引き起こす可能性があるとされています。そのため、特に金属アレルギーの既往歴がある方や敏感な肌をお持ちの方は、使用する銀合金製品や歯科材料に関して十分な注意が必要です。

チタン

チタンは金属アレルギーを引き起こす確率は非常に低いとされています。その生体適合性の高さから、インプラントや医療用具などにも頻繁に用いられます。しかし、完全にアレルギーフリーであるわけではありません。ごく稀にチタンに対するアレルギー反応が報告されています。その多くは、チタンが他の金属と合金として使用されている場合や、表面処理の過程で他の物質と反応している場合に見られます。

ひとつでも気になる点がある場合は
早期の検査と治療をおすすめします。

金属アレルギーは体全体に影響を及ぼす場合があります。特定のテストでアレルギー原因を突き止め、患者様の体質と症状に合わせた治療法を選択し、健康的な口内環境を目指します。少しでも不調を感じたら、お早めにご相談ください。

治療の流れ Flow

金属アレルギー治療の専門的なアプローチを提供します。初診から皮膚科紹介、パッチテスト、金属除去、アフターフォローまで一貫したケアで患者様の健康と安全を守ります。

step 1

当院にて診察

口腔内を確認させていただきます。

背景
step 2

皮膚科紹介

症状があれば、当院が推薦・連携する皮膚科をご紹介させていただきます。

背景
step 3

パッチテスト 皮膚科対応

金属アレルギーの可能性がある場合は、皮膚科にてパッチテストを実施し、アレルギー成分を特定します。
歯科と関係のない場合、皮膚科にて継続診療を行います。

背景
step 4

金属除去・修復

特定の金属を除去・非金属修復をします。

背景
step 5

アフターフォロー

治療後は口腔内と金属アレルギーのアフターフォローをさせていただきます。

背景

料金表 Price

金属を除去し、詰め物や被せ物を交換する料金についての情報です。各種素材と解説、その費用や保険適用等を明示し、安全で効果的な選択をご提案します。

詰め物

種類を選択すると、詳しい説明をご覧いただけます。

ジルコニアセラミック(ステイニングあり)

¥55,000(税込)

保険 なし

保証

ジルコニアセラミック(ステイニングなし)

¥44,000(税込)

保険 なし

ジルコニアセラミック(白)

¥33,000(税込)

保険 なし

e.maxセラミック

¥55,000(税込)

保険 なし

被せ物

種類を選択すると、詳しい説明をご覧いただけます。

オールセラミック

¥132,000(税込)

保険 なし

保証

ジルコニア(ステイニングあり)

¥104,500(税込)

保険 なし

保証

ジルコニア(ステイニングなし)

¥93,500(税込)

保険 なし

ジルコニア(白)

¥66,000(税込)

保険 なし

  • 医療費控除について: 当院での治療費は、一定の条件下で医療費控除の対象となる可能性があります。
  • また、保険適用の可否も症状や治療内容により異なるため、詳しくはスタッフまでお問い合わせください。
  • 資料をご用意しておりますので、気軽にお尋ね下さい。

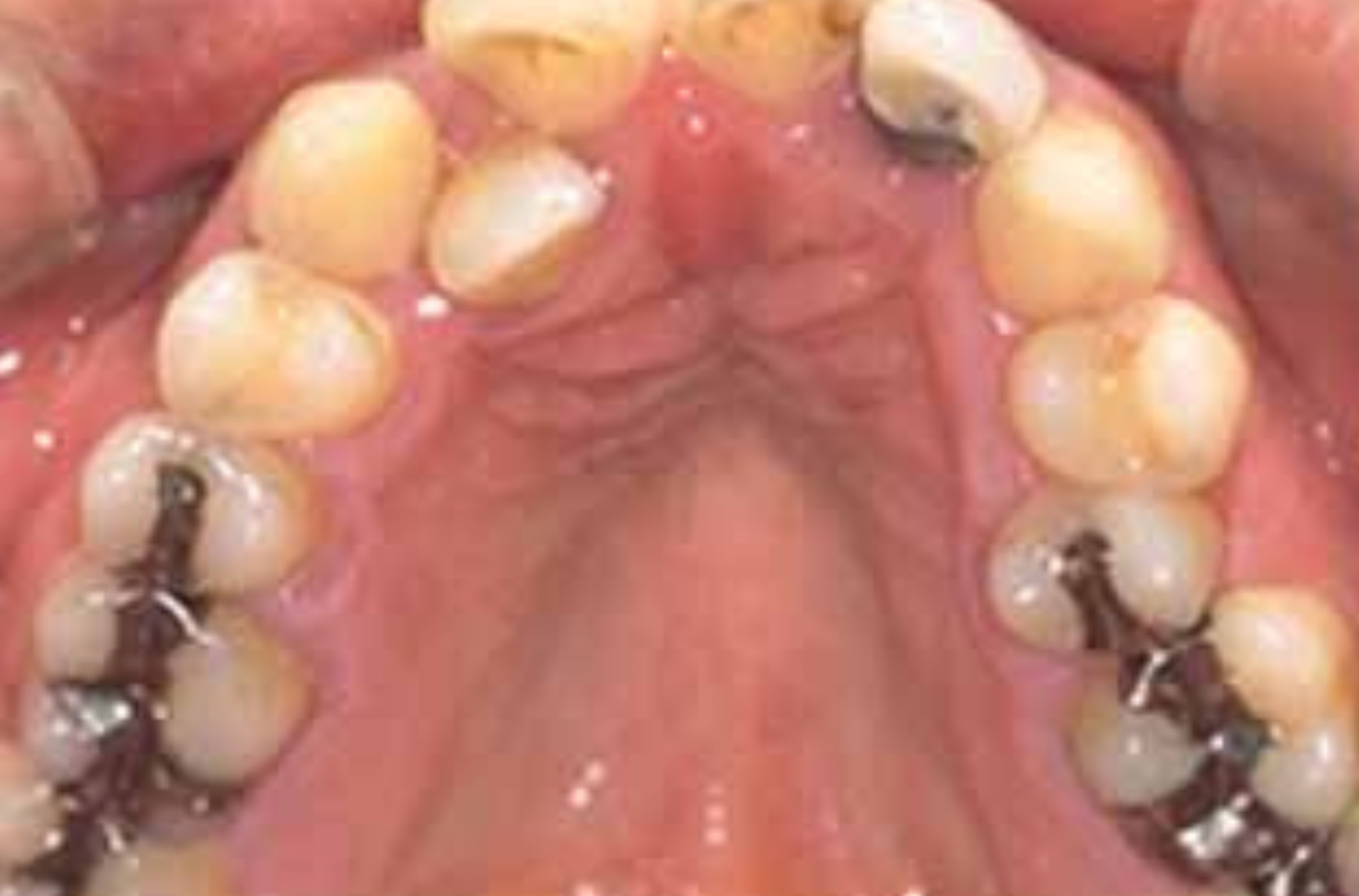
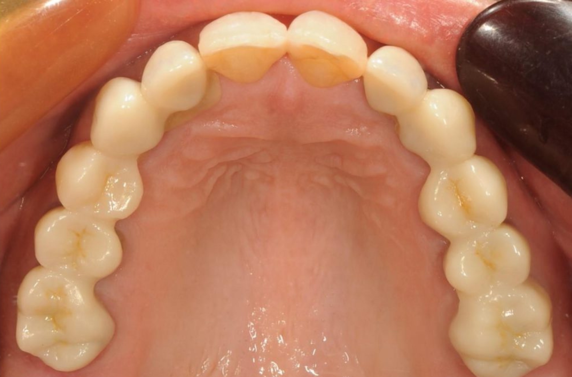
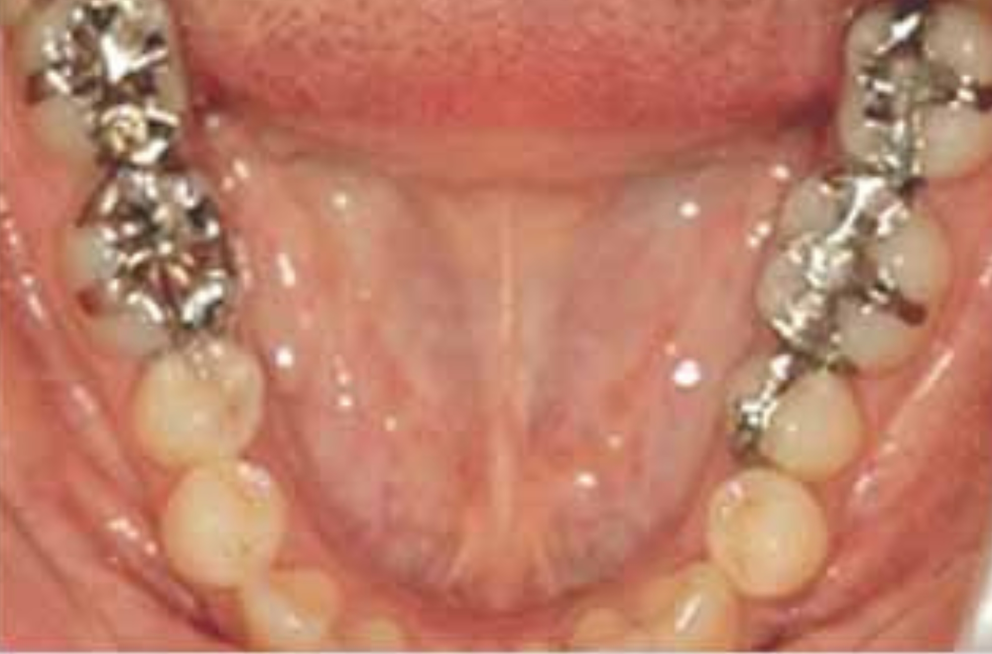
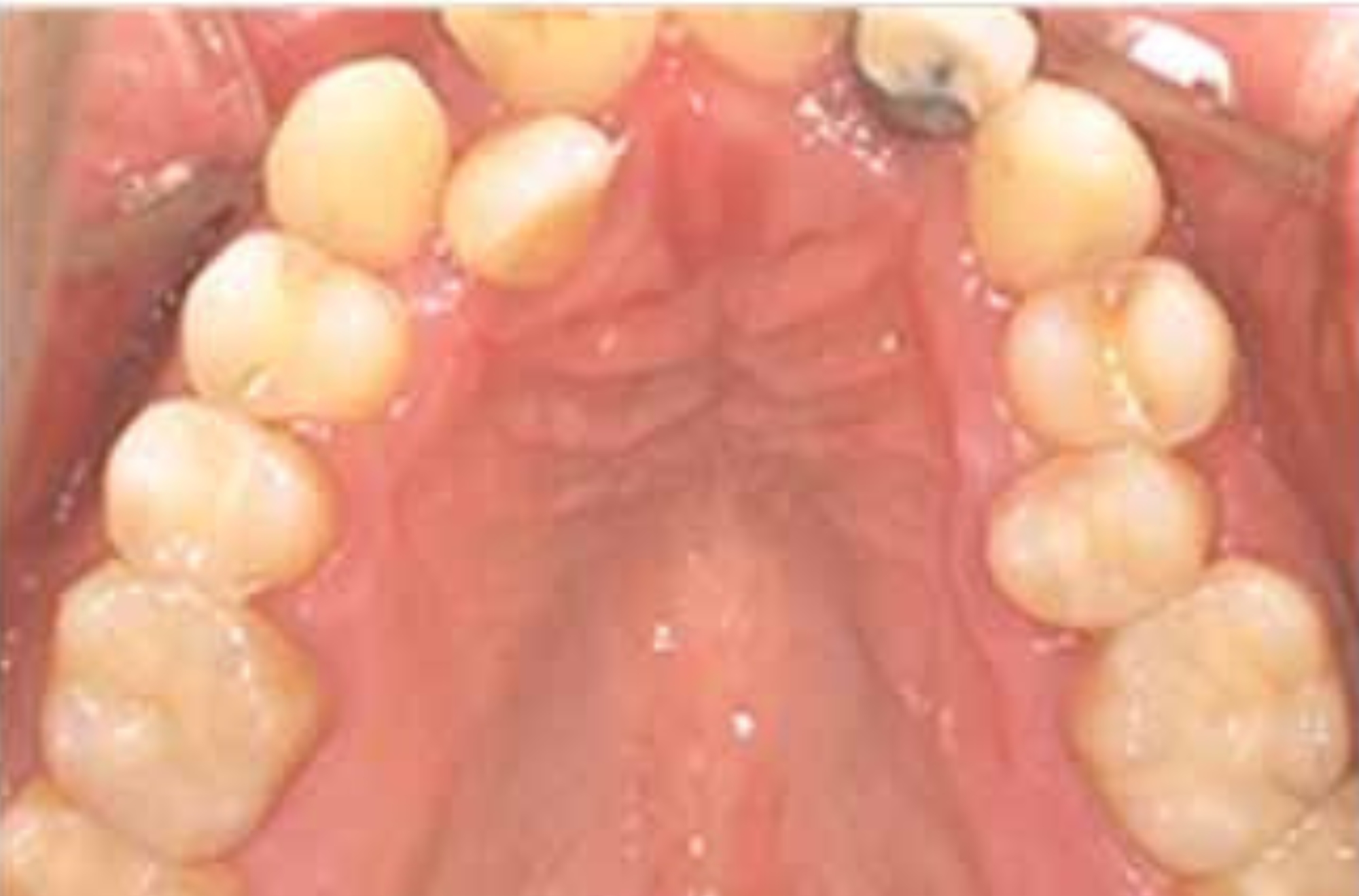
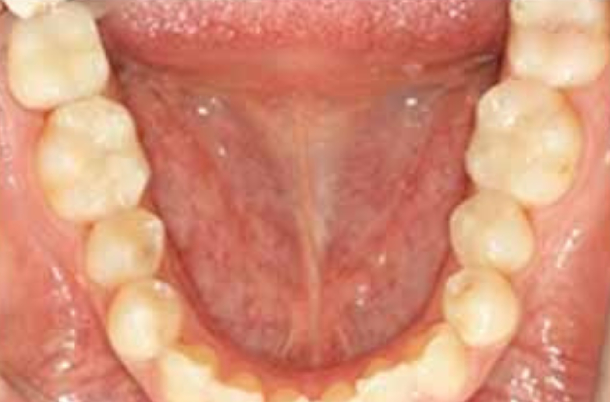
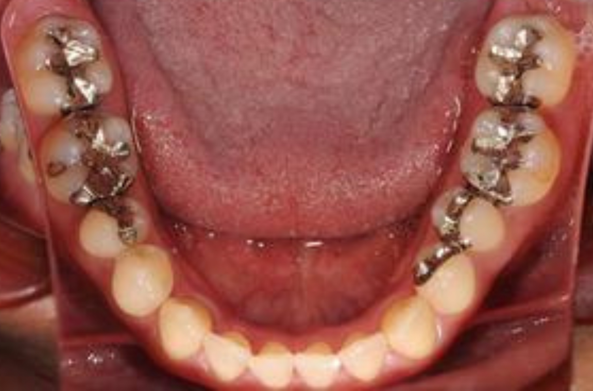
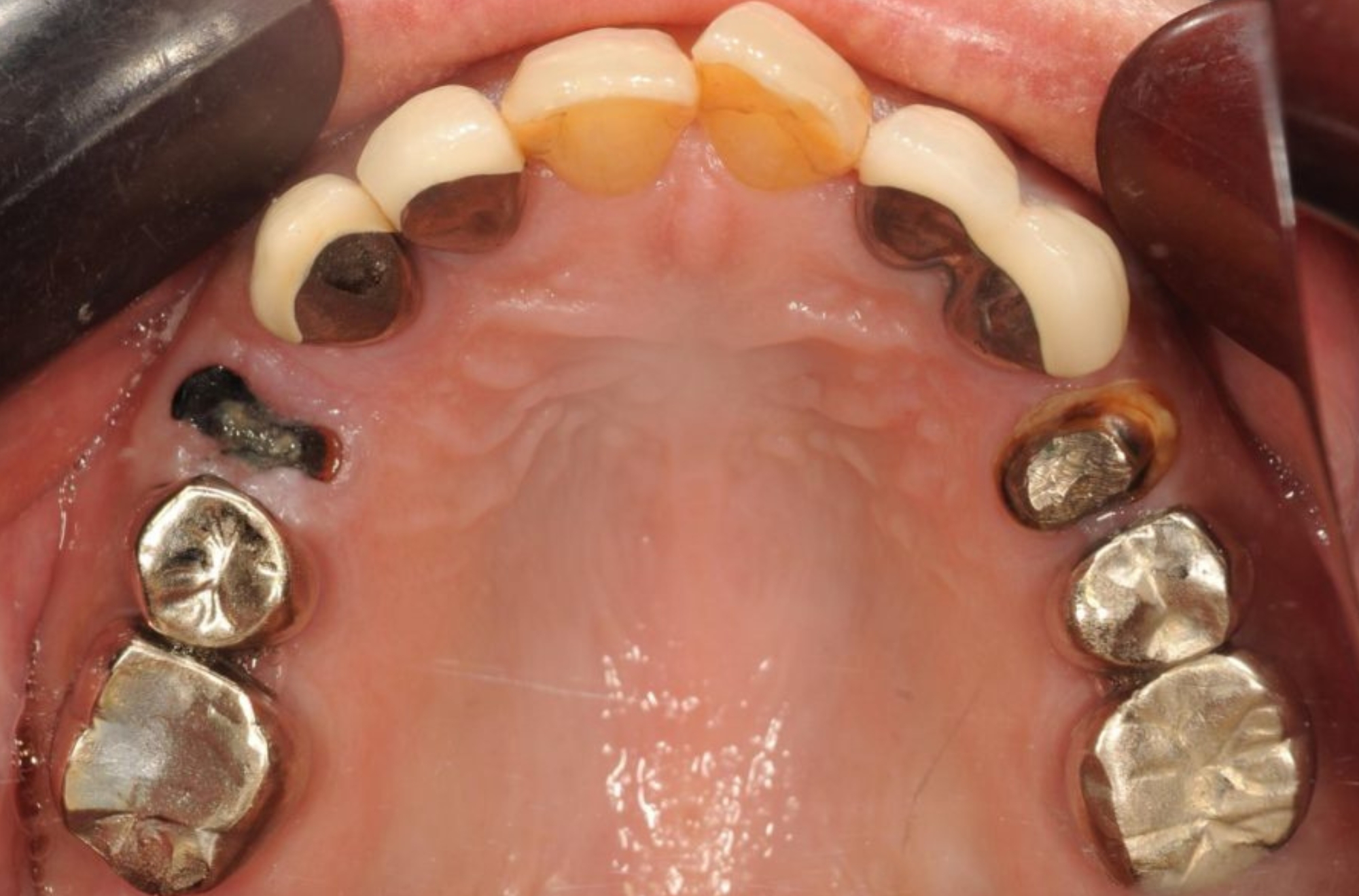
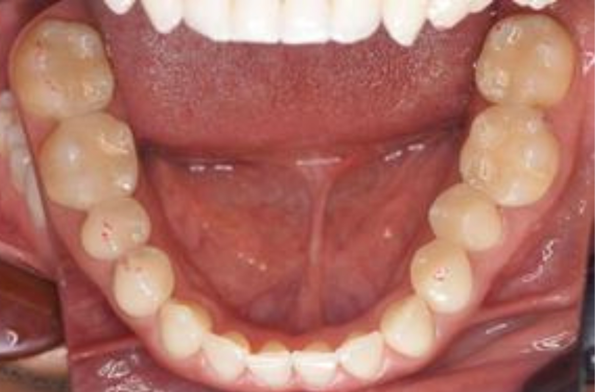
Case

当院のメタル除去症例

中央のバーを動かすと、治療前後の写真を見比べることができます。

case.01

見た目の印象もここまで変わる

口腔内のメタル除去で、見た目も劇的に変わります。金属を自然な素材に替えることで、笑顔が明るく、自信を持って会話できるように。印象を変えたい方は、おすすめです。

case.02

メタルフリー治療で、健康を手に!

当院のメタルフリー治療は、金属アレルギーの心配を排除し、健康な口内環境を実現します。高品質な非金属素材で安心と健康を手に入れましょう。

case.03

症状が和らぐ、アレルギー治療

アレルギー専門の治療で症状を和らげます。メタルフリーの治療法や特別なテストで、あなたに最適な治療を選択します。より健康な口元と体を手に入れましょう。

case.04

金属アレルギーの不安を解決

金属アレルギーの不安、当院で解消しませんか?専門的な診断と治療で、あなたの症状に対処します。不安を抱える前に、まずは当院で確かな答えを得ましょう。

Purpose

口腔内から金属を除去する目的

口腔内から金属を除去する目的は多岐にわたります。金属アレルギーのリスク軽減はもちろん、それによる全身の健康への影響も大いに考慮されます。金属素材が原因での口内炎や刺激、さらには全身的な疲れや不調にも繋がる可能性があります。

for Allergy

金属アレルギーを軽減

金属を口腔内から除去すると、アレルギー反応のリスクが軽減される可能性が高くなります。それにより、口内炎や舌の刺激、さらには遠く離れた体の部位でのアレルギー症状も改善されることがあります。また、金属アレルギーは全身の健康にも影響を与える場合があり、頭痛や疲れ、不眠などの症状も改善することが期待できます。

for Aesthetic

見た目の印象を変える

金属材料はただ体に影響を与えるだけでなく、口元の見た目にも大きな影響を持っています。当クリニックで行った口腔内のメタル除去の症例では、患者様自身がその変化に驚かれるほどです。金属が除去され、自然な素材に置き換わることで、笑顔が一層明るく、自信をもって会話できるようになりました。美しさは健康から生まれます。

for Prevention

病巣感染対策

口腔内の金属補綴物や装置は、時に微生物が付着しやすい表面を持つ場合があります。細菌が繁殖すると、口腔内だけでなく全身への感染のリスクが高まり、炎症や感染症を引き起こす場合があります。金属を除去し、抗菌性に優れたセラミックなどに置き換えることで、細菌の繁殖を抑える効果が期待できます。金属を口腔内から除去することは、病巣感染を予防し、全身の健康を守る重要な対策となる場合が多いです。

歯の治療では、歯科選びがとても大切です。
一生モノの歯の健康は、歯科選びから始まります。

歯科選びは、治療の質や結果に大きく影響します。歯科医師の技術や経験、設備の最新性、スタッフの対応などがポイントとなります。信頼できる歯科医院選びで、長期的な歯の健康を守りましょう。

なぜ、あおぞら歯科クリニックに
相談する人が増えているの?

痛みや不安を軽減します

患者様に寄り添った治療

当院は「患者様に寄り添った治療」を目指します。全年齢層のお口の健康を、最新の治療技術と徹底した滅菌で守ります。治療前には詳しい説明をし、患者様と家族が安心できるよう心掛けています。無痛治療を重視し、担当制で長期的なケアを提供。患者様一人ひとりに合わせた、質の高い医療とホスピタリティで、痛みの少ない治療を心掛け、安心と笑顔のあるクリニックを目指しています。それぞれの患者様のニーズに応じた、真心のこもった治療を提供することをお約束します。

歯科からQOL向上へ

歯科と医科連携による治療

当院では、歯科と医科の連携により、より高度で総合的な治療を提供しています。金属アレルギーの疑いがある場合には、皮膚科と連携してパッチテストを行い、問題のある金属を特定して除去します。非金属修復も選択肢に含まれており、患者様一人ひとりの健康状態とライフスタイルに合わせた治療プランを提案します。私たちは、歯の健康だけでなく、全身の健康も考慮に入れています。これにより、患者様がより健康で快適な生活を送ることができるようサポートします。

豊富な選択肢

幅広い料金設定

「歯科医院に行くとすぐに高いものをすすめられる」という話をよく聞きます。当院では患者様のニーズと予算に合わせた柔軟な治療プランを提供いたします。最初から高額な保険外治療を勧めることはありません。まずは、お口の状態を丁寧に説明し、治療方針に納得いただいた上で選択していただきます。保険内外での治療方法や材料の違いも明確にご説明いたします。当院は、患者様が納得して治療を受けられるよう、最善のケアを提供します。

金属アレルギーでお困りなら
あおぞら歯科クリニックにお任せください。

歯科と医科を連携させた医科歯科連携治療を
知り尽くした歯科医師が、お口と身体を健康にします。

24時間受付中
お電話でも承ります
047-422-7177 土日祝も診療
背景

金属アレルギー治療への想い Philosophy

患者様の身近な存在でありたい

当院は地域の皆様に信頼される、身近な歯科医院を目指しています。金属アレルギーに対する治療では、医科と緊密に連携を取り合い、専門の検査手段を用いて正確な診断を行っています。それにより、一人ひとりの患者様に最適な治療プランを提案します。
さらに、金属アレルギーに関する正確な情報を広める啓発活動も行っています。
治療に際しては、患者様が抱える問題や疑問に対し、十分な説明と共に治療方針を明確にし、安心して治療を受けていただけるよう配慮しています。そのための個別カウンセリングや治療後のフォローアップも欠かしません。
このように、当院は患者様の生涯にわたる健康をサポートすると共に、地域全体の口腔健康向上にも貢献しています。

豊かで幸せな人生を患者様と共に歩む

当院では、患者様の全身の健康と生活の質(QOL)の向上を重視しています。
金属アレルギー治療においては、医科との連携で検査や診断を行い、最も適切な治療法を選択し、笑顔の回復はもちろん、日常生活で口腔が果たす多くの役割をスムーズにし、患者様がより豊かで幸せな人生を送れるようサポートします。
治療プランの立案から実施、アフターケアに至るまで、患者様一人ひとりのライフスタイルや希望を踏まえた上での治療を心掛けています。治療が成功した後も、定期的なフォローアップやメンテナンスを提供。患者様が持続的な口腔健康を維持できるよう全力でサポートします。
総合的なアプローチで、患者様の人生全体に良い影響をもたらすことを目指しています。

患者様の健康寿命を延ばしたい

当院は、単に口腔内の症状を和らげるだけでなく、全身の健康も深く考慮して治療を行います。そのため、医科とも連携を取っています。金属アレルギー治療においては、皮膚科と連携した上で、高度な検査手法を用いて正確な診断を行います。
これにより、金属アレルギーに起因する様々な体調不良や症状を早期に発見し、根本的な治療を行うことが可能です。治療後は定期的なフォローアップを行い、生活習慣の改善や再発防止のアドバイスを提供しますので、患者様が持つ可能性のあるアレルギーによる健康リスクを最小限に抑え、健康寿命を延ばすことが可能です。
当院は患者様がより長く、より質の高い健康寿命を送れるよう、総合的な医療サービスを提供します。

FAQ

よくあるご質問

金属アレルギーの症状は何ですか?
金属アレルギーの一般的な症状には、皮膚の赤み、かゆみ、発疹がありますが、重度の場合には呼吸困難や消化不良なども発生する可能性があります。
金属アレルギー治療は見た目にどれくらい影響があるのですか?
当院では美容面も非常に重視しています。治療後の見た目に関しては、自然な仕上がりとなるような材料選びと施術方法にこだわっています。特に、顔や口元への影響を最小限に抑え、自然な美しさを保つよう努力しています。
金属アレルギーを特定するために、どのような診断テストがあり、精度はどれくらいですか?
推薦・連携した皮膚科では血液テストやパッチテストなど、多角的な診断方法を用いています。これらのテストは非常に高い精度でアレルギーを特定できます。
金属アレルギーは全身の健康にどのような影響を及ぼしますか?
金属アレルギーは皮膚症状に留まらず、場合によっては消化系、呼吸器、または神経系にも影響を与える可能性があります。これらの症状がある場合、早急に対応することが重要です。
金属アレルギー治療で改善できる他の健康問題はどんなものですか?
金属アレルギーの治療は、関連する皮膚症状や消化器症状、さらには呼吸器症状なども改善されるケースが多いです。当院では医科と連携して、全身の健康状態も詳細に診断し、最適な治療プランを考案します。
治療法によっては副作用やリスクがあるのですか?
一般的には副作用やリスクは少ないですが、それでも症状や体質によっては注意が必要です。治療前には必ず詳細な医学的評価を行い、リスクを最小限に抑えるようにしています。
すでにアレルギーが確認されている場合の治療プロセスはどうなりますか?
既にアレルギーが確認されている場合、そのレベルや種類に応じて個別の治療プランを作成します。治療プランには、適切な材料選び、治療方法、そして継続的なケアとフォローアップが含まれます。
アレルギーが強い場合、どのような特別な対応がありますか?
アレルギーが特に強い場合は、高度な専門治療が必要となります。可能であれば、アレルゲンを完全に除去し、高度な代替材料や治療法を用いて症状をコントロールします。
代替材料(セラミック、プラスチック等)の見た目や耐久性について教えてください。
当院では、セラミックや特殊プラスチックなど、見た目に優れた代替材料も豊富に用意しています。これらの材料は高い耐久性があり、長期間自然な美しさを保つことが可能です。
金属アレルギー治療後のケアやメンテナンスはありますか?
金属アレルギー治療後は定期的なフォローアップが必要です。当院では治療後も継続的に症状のチェックを行い、必要なケアやメンテナンスプランを提供しています。
金属アレルギー治療は保険が適用されますか?
当院の金属アレルギー治療は一部保険適用となっています。ただし、適用される範囲や条件があるため、事前にお問い合わせいただくことをお勧めします。

Initiatives

学びへの取り組み

当院では、患者様によりよい治療を提供するため、日々の研鑽と技術の向上に努めております。

医科歯科連携の強化

お口の健康は全身の健康と密接に関わっています。当院では"医科歯科連携"を積極的に推進しています。これは、口腔内の問題が全身の健康に影響を与えることが科学的に証明されているからです。当院の専門チームは、患者様に最適な治療を提供するために、医科の専門家と連携しています。より効果的な治療と医療費の節約を実現しています。当院が全力でサポートします。

スタッフの研修・資格の強化

当院にはTC(Treatment Coordinator)資格を持つスタッフを置いております。この資格は治療計画や患者様とのコミュニケーションに不可欠です。 TC資格保有者が専門的なアドバイスを提供し、安心して治療を受けられる環境を作っています。これが当院の高評価と信頼の一因となっており、多くの患者様に支持されています。

現代の研究と技術の導入

当院では、最新の研究と技術を日々導入しています。レーザー治療、デジタルレントゲン、高度な診断ソフトウェアなど、先進的な設備を積極的に使用。早期発見と効率的な治療が可能で、患者様の痛みも最小限に。テクノロジーの活用により、治療の質が大幅に向上し、患者様の満足度も高まっています。こちらが当院を選んでいただく理由の一つとなっております。

背景

金属アレルギーでお困りなら
あおぞら歯科クリニックにお任せください。

歯科と医科を連携させた医科歯科連携治療を
知り尽くした歯科医師が、お口と身体を健康にします。

24時間受付中
お電話でも承ります
047-422-7177 土日祝も診療
背景
047−422−7177

〒273-0864 千葉県船橋市北本町1丁目3−1 Kメディカルモール1階

JR「船橋駅」北口より徒歩7分、東葉高速鉄道「東海神駅」徒歩2分

診療時間
8:30-13:00
14:00-19:00 - - -

【診療時間】(平日) 8:30〜13:00 / 14:00〜19:00 (最終受付18:30)(土日祝日) 8:30〜15:30 (最終受付15:00)
【休診日】 年末年始